expect to smile
We are a dentist based in Cary, NC. We provide a family environment where we love to see patients smiling, laughing, and enjoying their time with us. Expect a non-judgmental, refreshingly “WOW” dental experience with personal attention, stunning cosmetic solutions, and dental care that leaves you ready to smile confidently.
Meet Your Dentist
Dr. Patel
"Dr. Patel is truly amazing! I came in as a new patient looking to get my smile back. I have always been self conscious about my smile and fearfully I would never see it again. But after meeting Dr. Patel, and her staff, I am already feeling more confident that I will be able to smile without hiding my smile! I am so happy I have found Dr. Patel. I couldn’t ask for a better Dentist."
Specialized services.
Superior outcomes.
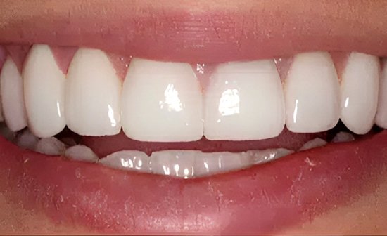
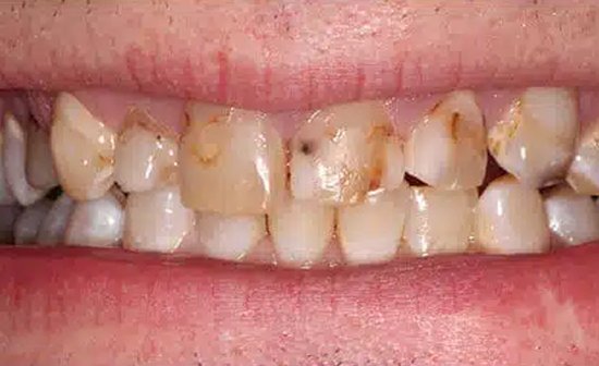
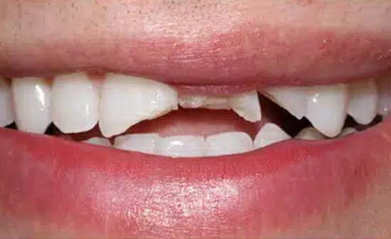
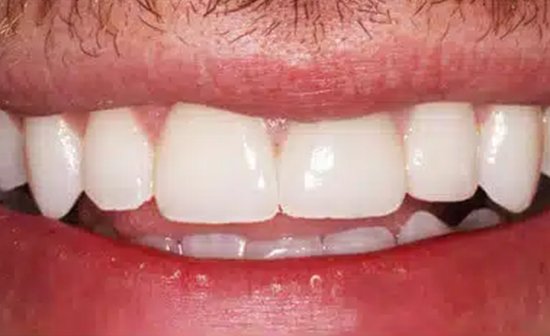
expect stunning Dental solutions
Our cosmetic dentistry in Cary, NC provides a full menu of today’s leading treatments. This includes complete smile makeovers, laser surgery, general dentistry and sleep apnea solutions, root canals and full & partial dentures in Cary, NC.

expect comfort
Choose to use our sedation dentist in Cary, NC, if you wish. Relax into our spa-like sanctuary with back massagers, scented neck pillows, warm blankets, and Netflix. We love to laugh, smile, and create a fun experience for our new friends.
Discover the Preston Dental Loft Difference
learn more
learn more
learn more






























